Ana Mendieta

The Völklingen Ironworks flooded in red light
Copyright: Weltkulturerbe Völklinger Hütte | Oliver Dietze

Born in 1948 in Havana, Cuba
died in 1985 in New York City, United States

Work

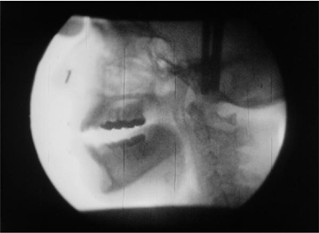
X-Ray, Ana Mendieta

Ana Mendieta

16-mm-Film, transferiert auf HD Video, schwarz/weiß, Ton
Copyright: Courtesy the Artist and Marion Goodman Gallery

The film X-rays, made in the mid-1970s, shows moving X-ray images of the skull of Cuban artist Ana Mendieta. Her head is X-rayed from various angles while she repeats the same sequence of vowels and consonants. She uses fluoroscopy technology from the University of Iowa, which is otherwise used to diagnose speech disorders. Mendieta's vocalisations are reminiscent of tongues spoken in a trance; she described herself as a ‘Neolithic shaman’. With X-rays, the artist creates a self-portrait in which her visible self transcends into a primal being when viewed through X-rays.